Open Journal of
Clinical and Medical Images


Research Article - Open Access, Volume 3

Feasibility of using airway contrast in the measurement of anastomotic stenosis in lung transplant patients

Monika Kakol1; Heidi Gibson RT2; Alireza Nathani3; Abbie Begnaud3; Jennifer Wong3; Joseph Keenan4; Erhan Dincer5; Roy Joseph6*

1Assistant Professor of Medicine, Section of Interventional Pulmonology, University of Southern California, Los Angeles, CA, USA.

2Respiratory Therapy, Section of Interventional Pulmonology, University of Minnesota, Minneapolis, MN, USA.

3Assistant Professor of Medicine, Section of Interventional Pulmonology, University of Minnesota, Minneapolis, MN, USA.

4Adjunct Assistant Professor of Medicine, Section of Interventional Pulmonology, University of Minnesota, Minneapolis, MN, USA.

5Professor of Medicine, Section of Interventional Pulmonology, University of Minnesota, Minneapolis, MN, USA.

6Associate Professor of Medicine, Section of Interventional Pulmonology, University of Minnesota, Minneapolis, MN, USA.

*Corresponding Author: Roy Joseph
Associate Professor of Medicine, Section of Interventional Pulmonology, University of Minnesota, Minneapolis, MN, USA.
Email: choxx548@umn.edu

Received : Nov 11, 2023

Accepted : Dec 09, 2023

Published : Dec 16, 2023

Archived : www.jclinmedimages.org

Copyright : © Joseph R (2023).

Abstract

Background: The most common airway complication after lung transplantation is airway stenosis. To date, airway stenosis is a subjective measurement i.e. eyeball test. We have published our experience using airway contrast in patients with central airway obstruction. We believe using airway contrast to assist in airway diameter measurements is feasible, accurate and more consistent than the traditional methods.

Methods: Any lung transplant patient undergoing surveillance and/or therapeutic bronchoscopy using fluoroscopy were eligible for the study. Patients with history of contrast allergy were excluded. Anastomotic measurements included the conventional method “eyeball test” and the contrast-assisted measurement using our novel technique.

Results: A total of 34 anastomotic sites were evaluated (Average Age 57-years old, 65% Men). The eyeball assessment identified an average percent stenosis of 17-16. Contrast-assisted measured range was 5.1 mm to 16.5 mm with an average percent stenosis of 20-15. The average volume of contrast used was 11-4cc’s. There were no immediate adverse effects to the contrast. The contrast assisted method produced a more accurate and consistent measurement than the eyeball test.

Conclusion: This pilot study demonstrated feasibility for using airway contrast to measure anastomotic diameter in lung transplant patients. Both methods were similar on average; however, the contrast method was able to provide an objective measurement in mm which would be helpful to follow longitudinally than a subjective percentage of stenosis. Additionally, the inter-reliability and inter-observer variability were more accurate and consistent with the contrast method. Future studies including larger sample size and randomization will be needed to corroborate our findings.

Citation: Kakol M, Gibson RTH, Nathani A, Begnaud A, Joseph R, et al. Feasibility of using airway contrast in the measurement of anastomotic stenosis in lung transplant patients. Open J Clin Med Images. 2023; 3(2): 1155.

Introduction

Airway stenosis is the most common anastomotic complication following lung transplantation. In 2016, ISHLT published guidelines for an objective survey of airway complications; however, these rely on the bronchoscopist’s subjective assessment [1]. There have been reports of objective methods to provide intra-operative measurement for airway stenosis however these are largely research based and not clinically used [2,3]. Our group has published our experience using airway contrast (Iopamidol) for visualization of the tracheobronchial tree [4,5]. Visualization of a contrast-filled airway can be measured using radiographic viewer measurement tools. In this study, we propose feasibility to measure the anastomotic diameter with airway contrast to provide an objective measure of airway diameter in lung transplant patients that could potentially be more accurate and consistent.

Methods

This was a single-center prospective observational study conducted at the University of Minnesota Medical Center in Minneapolis, Minnesota. A waiver was granted for written informed consent. The human subjects research committee of the local institutional review board approved the study protocol. All post-lung transplant patients between 2021-2022 were screened for this study. Patients who refused to participate, had contrast allergy, or had severe respiratory symptoms at the time of bronchoscopy were excluded.

Airway contrast injection: Isovue-200 was used as the contrast agent for all patients. A 50:50 solution of Isovue-200 and saline was used as the mixture for injection. Once the anastomosis was under direct visualization, we instilled 5-10cc of contrast mixture at a time down the main bronchus; in parallel, recorded a live 10 sec fluoroscopic video. These images were recorded into our EMR and used for measurements.

Anastomotic diameter measurement: For each patient, both anastomotic and normal airway diameters were subjectively measured (eyeball) by one of our Interventional Pulmonary (IP) staff/fellow. The subjective diameters were based on a percent stenosis where 0% depicted no stenosis and 100% depicted total occlusion. The objective measurements with contrast were measured by a different IP staff who was blinded to the eyeball measurements. Under live fluoroscopy, 5-10cc of contrast was injected proximal to the anastomosis and the images were recorded. Using the viewing software, the measurement tool was calibrated to the scope diameter. The anastomotic site was measured using both staple-line or narrowest diameter visualized by contrast. The diameter for normal airway was defined as the proximal portion of to the anastomotic site.

Statistical analysis: Patient demographics and clinical characteristics were summarized and presented using descriptive statistics. To compare the accuracy of the eyeball vs contrast assisted technique we used inter-relator reliability and interobserver variability.

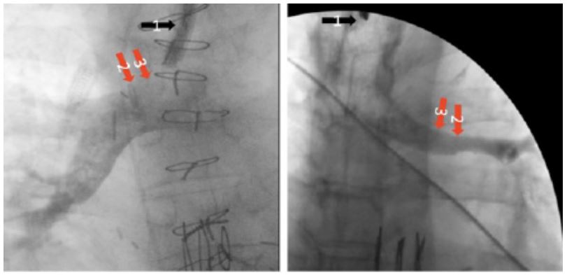
Figure 1: Fluoroscopic airway contrast images. Both images provide adescription of how we measure airway diameter using contrast. On the left we demonstrate our measuring technique in a normal anastmosis. We first measure the diameter of the scope (black arrow#1) which provides a calibration for the radiology software to calculate distance in mm. After calibration is perfomed, we measure the anastomosis (redarrow#2) from end-to-end and repeat this for the proximal airway (red arrow#3). On the right, we demonstrate a stenotic anastmosis.

Results

A total of 34 anastomotic sites were evaluated (Average Age 57-years old, 65% Men). The mean post-transplant days was 894-days. Mean spirometry included predicted FEV1 of 61±16%, FVC of 67±14%, and DLCO of 76±25. The eyeball assessment identified an average percent stenosis of 17±16.

Contrast-assisted measured range was 5.1 mm to 16.5 mm with an average percent stenosis of 20±15.

The average volume of contrast used was 11±4cc’s. There were no immediate adverse effects to the contrast. The interrealtor reliability and inter-observer variability statistics favored the contrast-assisted method as more consistent (Table 3).

Table 1: Demographics and procedural summary.
n=34 n(%) or mean±SD
Patients 17
Anastmosic Sites Assessed 34
Age 56 :I: 9.3
Male 22 (65)
Days post-transplant 895: I: 1193.35
Bilateral Single Lung Transplant 34 (100)
Indication for Bronchoscopy 26.15: I: 4.8
Routine Surveillance 22 (65)
Respiratory Symptoms 10 (30)
Post-Stent Surveillance 2 (5)
Cystic Fibrosis 2 (5)
CPFE 2 (5)
Fibrotic ILD 12 (35)
Emphysema 10 (30)
COVID 6 (18)
PVOD 2 (5)
PFTs (% predicted)
FVC 66.82 :I: 13.44
FEV1 62.82 :I: 16.50
Ratio 73.24 :I: 14.05
Bronchoscopy type
Flexible scope 34 (100)
2.0 Working Channel 26 (76)
2.8 Working Channel 8 (24)
Contrast use (m) 10.88 :I: 4.68
% Anastomotic stenosis, all groups
Eyeball 17.35 :I: 16.66
Contrast 20.42 :I: 15.40
Post-bronchoscopy complications
Major Hemorrage 0
Respiratory failure 0
None 34
Table 2: Individual assessment for eyeball and contrast measurements.
Eyeball Contrast
n Literally (1=Right) % Stenosis ISHL category Anastomosis (mm) Comparison airway (mm) % Stenosis ISHL category
1 1 0 1 10 13.4 25 1
2 2 10 1 6 8.5 29 1
3 1 50 2 9 10 10 1
4 2 50 2 6.2 11 44 1
5 1 50 2 12.9 13.7 6 1
6 2 25 1 607 7.5 11 1
7 1 25 1 5.5 7.7 29 1
8 2 5 1 8.2 8.3 1 1
9 1 10 1 16 17.9 11 1
10 2 0 1 13.4 14.5 8 1
11 1 10 1 16.1 17.1 6 1
12 2 10 1 10.9 12.2 11 1
13 1 50 2 9.1 13.5 33 1
14 2 20 1 5.9 9.9 40 1
15 1 40 1 7.5 12.9 42 1
16 2 5 1 8.4 10.9 23 1
17 1 0 1 13.2 13.2 0 1
18 2 50 2 5.6 9.8 43 1
19 1 5 1 9.1 15.1 40 1
20 2 5 1 9 15.8 43 1
21 1 10 1 9.1 10.6 14 1
22 2 0 1 12 12.3 2 1
23 1 25 1 7.8 8.7 10 1
24 2 25 1 5.6 10.8 48 1
25 1 5 1 14.4 15.7 8 1
26 2 0 1 14.4 14.5 1 1
27 1 5 1 11.1 12.7 13 1
28 2 25 1 6.9 10.9 37 1
29 1 15 1 11.5 12.5 8 1
30 2 20 1 8.9 9.3 4 1
31 1 5 1 12.1 15.8 23 1
32 2 15 1 9.7 11.9 18 1
33 1 15 1 NA NA NA NA
34 2 5 1 8.4 12.5 33 2

Raw data from each airway anastomosis we assessed during the study.
NA: Unable to measure due to poor imaging quality. ISHLT: The intentional society for Heart and Lung Transplant, ISHLT categories for % stenosis include: 1=0.25, 2=25-50, 3=50<100, 4=100

Table 3: Inter-relator reliability between eyeball and contrast methods.
n=34 n(%) or mean±SD
lnter-relator Reliability Observer#1 Observer#2
Eyeball Measurement (% stenosis) 18.13±16.84 31.09±21.05
Contrast Measurement (mm, % stenosis) 9.42±10.73 (13%) 3.36 ± 2.97 (12%)
Inter-observer var iability (JOV)
Eyeball Measurement between observers 17.97±16.36
Contrast Measurement between observers 0.08±0.17

Data expressed as mean and standard deviations or n(%) Inter-rater reliability was evaluated in these patients by an IP attending and pulmonary fellow using the intra-class correlation coefficient derived from a 2-way random effects model [5]

Discussion

The degree of airway stenosis is a crucial aspect of determining whether or not an intervention should be performed. To date, there is no objective way of providing an airway diameter measurement outside of pre-operative advanced imaging (i.e. CT chest). Traditionally, we have relied on subjective eyeball measurements to determine % stenosis. In patients with lung transplant, it is particularly important to provide a consistent accurate assessment given repeated bronchoscopic surveillance in this patient population.

We demonstrate a novel technique using contrast to help assist in providing a more accurate measurement for anastomotic diameter. We have provided detailed instruction and feasibility for contrast instillation and method for measuring the anastomosis using our fluoroscopic software. We also determined that both inter-reliability and inter-observer variability is more consistent with contrast method vs eyeball test.

This study is limited by small sample size and not generalizable for all pulmonologists since the investigators in this study has had expertise with contrast use. First, this study is limited to a specified population of patients within a single-center, academic institution; therefore, may not be representative in more generalized settings. We have tried to reduce bias as the investigator measuring the fluoroscopic images were blinded to the actual eyeball measurement for that specific airway. Despite these limitations, we feel that our findings are noteworthy and add to the current scarce literature in this specific area of pleural disease.

Conclusion

To conclude, we demonstrate a novel technique using contrast to assist in a more accurate, reproducible measurement of airway diameter. We have provided detailed instruction on our contrast protocol and measurement technique with our fluoroscopic software. A larger multi-centered trial will need to be conducted to support our preliminary findings.

References

  1. ISHLT consensus statement on adult and pediatric airway complications after lung transplantation.
  2. Williamson JP, Armstrong JJ, Mclaughlin RA, Noble PB, et al. Measuring airway dimensions during bronchoscopy using anatomical optical coherence tomography. European Respiratory Journal. 2010; 35: 34-41.
  3. Gil D, Ortiz RM, Sanchez C, Rosell A, et al. Objective endoscopic measurement of central airway stenosis: A pilot study. Respiration. 2018; 95: 63-69.
  4. Successful recanalization of complete left mainstem bronchus occlusion in a patient with granulomatosis with polyangiitis using combined fluoroscopic wire-assisted and bronchoscopic approach. Journal of Clinical Rheumatology. 24(2): 106-108.
  5. Cho RJ, Keenan JC, Wong J, & Dincer HE. Utilization of Airway lopamidol to identify a bronchomediastial fistula in a patient with lung cancer. Annals of Pharmacotherapy. 2019; 53(8): 871-872.