Open Journal of
Clinical and Medical Images


Clinical Image - Open Access, Volume 3

Bladder jackstone induced by prostate cancer

Mohamad Zbidat*; Basheer Maamoun; Zbidat Mohamad

Galilee Medical Center, Nahariya 22100, Israel.

*Corresponding Author: Mohamad Zbidat
Galilee Medical Center, Nahariya 22100, Israel.
Email: m7mad.zbidat@hotmail.com


Received : Aug 11, 2023

Accepted : Sep 08, 2023

Published : Sep 15, 2023

Archived : www.jclinmedimages.org

Copyright : © Zbidat M (2023).

Citation: Zbidat M, Maamoun B, Mohamad Z. Bladder jackstone induced by prostate cancer. Open J Clin Med Images. 2023; 3(2): 1137.

Description

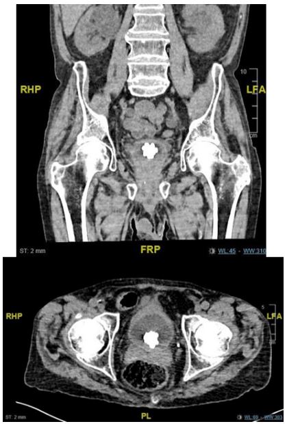
A 73- years-old man was referred to emergency department with bilateral flank pain and new-onset hematuria. He had a history of prostatic cancer and recurrent urinary tract infections. On physical examination, there was tenderness and an enlarged lower abdomen over the suprapubic region. Insertion of urinary catheter reviles of urinary retention with more than 1000 CC of urine and urinalysis showed hematuria and pyuria. A subsequent abdominal CT showed a unique jackstone calculi in pelvic region-named after a toy jack- typically form in the bladder because of urine stasis and are usually composed of calcium oxalate dihydrate.

Figure 1: