Open Journal of Clinical and
Medical Images


Case Report - Open Access, Volume 2

Dysphagia after IV ventricular tumor resection
surgery: A case report

Giulia Montigiani1*; Davide Papi1; Silvio Santini1; Luca Bucciardini2; Paola Graziani3; Tani Elena4; Federico Capelli5; Agnese Pedone5; Antonio Pisano5

1Rehabilitation Service, Department of Healthcare Professionals, Azienda Ospedaliero-Universitaria Careggi, Florence, Italy.

2Neuro Intensive Care Unit, Department of Anesthesia and Intensive Care, Azienda Ospedaliero-Universitaria Careggi, Florence, Italy.f

3Otolaryngologist and Phoniatric- Audiolog, Head and Neck Oncologic Surgery, Departement of Oncology, Azienda Ospedaliero-Universitaria Careggi, Florence – Italy.

4Speech Therapist, Don Gnocchi Florence, Italy.

5Department of Neurosurgery, Department of Neuroscience, Psychology, Pharmacology and Child Health (NEUROFARBA) Careggi University Hospital, Florence, Italy.

*Corresponding Author: Giulia Montigiani
Piazza Caduti di Pian D’albero 16 Figline e Incisa Valdarno 50063, Firenze Italy.
Tel: +39-335-100-5967;
Email: giulia.montigiani.86@gmail.com

Received : Nov 30, 2022

Accepted : Dec 23, 2022

Published : Dec 31, 2022

Archived : www.jclinmedimages.org

Copyright : © Montigiani G (2022).

Keywords: Dysphagia; Intensive Care Unit; Ependymoma; Tracheostomy.

Citation: Montigiani G, Papi D, Santini S, Bucciardini L, Graziani P, et al. Dysphagia after IV ventricular tumor resection surgery: A case report. Open J Clin Med Images. 2022; 2(2): 1087.

Introduction

We present the case of a patient with a fourth ventricle neoplastic lesion that presented with no clinical alterations in swallowing nor in other cranial nerves functions. After surgery (gross total resection), nosocomial dysphagia was misrecognized, causing two failed extubation attempts. Dysphagia, along with lack of airway protection and absence of cough reflex, also proved to be the main deficit that kept the patient hospitalized in the ICU for a longer time.

Case description

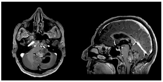
Patient - M, 66 yr. The patient presented with disequilibrium, unstable walking and multiple fallings without loss of consciousness during the previous months. Due to the persistence of symptoms, a brain Magnetic Resonance (MRI) was performed, showinga fourth ventricular lesion extending to the vermis and the left cerebellar hemisphere, characterized by un even contrast enhancement associated with initial signs of hydrocephalus (Figure 1).

The patient was therefore admitted to the Neurosurgery Unit -Careggi University Hospital, Florence Italy-where underwent surgery for the resection of the neoplastic lesion via a median suboccipital croniotomy and telovelar approach. The surgery was carried out with the aid of intraoperative neurophysiological monitoring of Somatosensory and Motor Evoked Potentials (SEPs and MEPs), neuronavigation and a fluorescent tracer (Sodium Fluorescein). The tumor did not have a well-defined dissection plan with the adjacent neurovascular structures. As a matter of fact, it was in close relationship with the Posterior Inferior Cerebellar Artery (PICA), the floor of the IV ventricle and the roots of cranial nerves IX, X and XI at the level of their emergence from the brainstem. Intraoperative stimulation of the floor of the IV ventricle showed valid and stableresponses to the facial (VII), vagus (X), and left glossopharyngeal (IX) nerves. SEP and MEP were evoked throughout the procedure, with no pathological changes.

At the end of the surgical procedure, the patient was transferred to the Neurosurgical Intensive Care Unit (NICU) for the postoperative monitoring. Upon discontinuation of sedation, the patient was cooperative, able to follow the examiner and to execute simple orders; no strength deficits were present in both lower and the right upper extremities. The patient showed less motor initiative with the left upper extremity. Neurological objective examination of the cranial nerves highlighted left abducens (VI) deficit with nystagmus in leftward gaze and diplopia. A mild flattening of the left naso-genius sulcus was also evident, in the absence of a clear strength deficit of the left facial (VII) nerve. The patient showed no particular discomfort due to the presence of the orotracheal tube even in the absence of opioids.

After approximately 18 hours of intubation in assisted ventilation with low supports, the patient was normocapnic and eupnoic. The cuff leak test was performed which showed no signs of upper airway obstruction. After extubation, the cough reflex, evalue with aspiration probe, appeared hypovalid, and the patient appeared to be able to mobilize but not expectorate bronchial secretions despite the use of the cough assist (cough assist T70, Philips Helthcare®). He therefore underwent cycles of Non-Invasive Ventilation (NIV) alternating with oxygen therapy with High-Flow Nasal Cannulae (HFNC). On the same day, the patient showed a rapid deterioration of respiratory exchanges with severe hypoxemia that required new oro-tracheal intubation. A fibrobronchoscopy was also performed, which showed a considerable amount of bronchial secretions.

Over the following four days after surgery, the patient was kept without sedation, intubated, ventilated in assisted mode alternating cycles of ventilation with Trans laringeal Open Ventilation (TOV), showing another time no signs of discomfort from the presence of oro-tracheal tube.

Ten days after surgery, after cycles of bronchial aspiration and a new cuff-leak test, negative for upper airway obstruction, a new attempt at extubation was made, followed by breathing exercises, NIV and HFNC.

At that time, from a neurological point of view, the patient was cooperative, able to perform simple and complex orders. A mild strength deficit of the left upper limb and a deficit of the left VI cranial nerve persisted, with nystagmus in left gaze. Partial deficits of the IX and X cranial nerve with swallowing deficit and sialorrhea were also present. The flattening of the naso-genius sulcus on the left side was no longer evident.

Due to the abundant sialorrhea, a specific rehabilitation program began with motility and sensitivity stimulation of the oro-pharyngeal region. The global rehabilitation program also included respiratory exercises to promote bronchial clearence, re-training of upper and lower limbs, exercises for head and trunk control and mobilization out of bed until the achievement of erect statics.

15 days after surgery, a phoniatric evaluation was acquired, which showed: depressed pharyngo-laryngeal sensitivity, lack of voluntary cough and poor cough reflex; the pharyngo-laryngeal district appeared hypomobile with absent automatic reflex swallowing acts, which appared to be very slow and ineffective; presence of abundant stagnation in the hypopharynx and laryngeal vestibule with penetration and inhalation; poor airway protection (Penetration Aspiration Scale: value 8).

Given the patient’s clinical situation, it was decided to perform a percutaneous tracheostomy.

The patient then continued the specific rehabilitation program to improve swallowing and exercises for control and coordination of the head and trunk (Table 1).

At the next phoniatric examination, performed 27 days after surgery, stagnation of salivary secretions persisted throughout the pharyngo-laryngeal tract with lip penetration and incontinence, associated with a non-triggered swallowing act.

We therefore proceeded with a percutaneous endoscopic gastrostomy (PEG) and removed the nasogastric tube.

About 40 days after surgery, the patient was transferred to a rehabilitation institution for continuing functional recovery.

Figure 1:

Figure 2:

Table 1:
Problem Intervention
Sensitive deficit of the mouth (Deficit cranic nerves) -Tactile stimulation
-Thermal and chemical sensitivity of the various districts of the mouth (anterior pillars, posterior wall of the pharynx, base and back of the tongue, inside of the cheeks)
Coordination deficit of the mouth movements Hypotonia masticatory muscles (Deficit cranic nerves) -Active exercises to recover muscle tone,
-Motility and coordination of the mouth,
-Tongue and masticatory muscles
Hypertonia suprahyoid and subhyoid muscles -Laryngeal mobilizations
-Stretching of the suprahyoid and subhyoid muscles;
No trunk and head control -Stretching and strengthening of the neck and -trunk muscles,
-Exercises for control and coordination of the head and trunk,
-Postural steps,
-Walking.

Results and follow-up

Histologic examination: Grade II Ependymoma (WHO 2016).

A brain MRI with and without gadolinium was performed 45 days after surgery, showing complete excision of the lesion (gross total resection) and resolution of the preoperative hydrocephalus (Figure 2).

Two months after surgery, the patient presented partial functional recovery with resumption of the swallowing act on command (not autonomous) and reduction of secretory stagnation in the hypopharynx. Swallowing tests with methylene blue were still positive for inhalation. The cough reflex showed a discrete improvement and the patient was able to expectorate secretions (Penetration Aspiration Scale: value 4). Deambulation was possible with the aid of a medical walker (Barthel Index: 10).

Conclusion

Ependymomas of the IV ventricle are a difficult condition to treat both surgically and post-surgically. The proximity to the extremely eloquent areas of the floor of the IV ventricle and to cranial nerves IX, X and XI, as well as the risk of obstructive hydrocephalus, explain the current morbidity and mortality rates associated with these lesions. At the same time, the surgical "goal" is represented by the complete resection of the lesion, in order to minimize the recurrence rate.

A modern multidisciplinary approach to this pathology is essential, including the neurosurgeon, the anaesthesiologist and the physiotherapy team in the hospital and during functional recovery in the event of long-term post-operative care.

In patients who present severe dysphagia and poor ability to expectorate secretions after surgery and who do not show improvement during the first postoperative week, the early airway and gastro-oesophageal protection devices (tracheostomy and PEG) can be a useful therapeutic procedure to safeguard the patient's health, decrease the risk of infectious complications and promote a more rapid start of rehabilitation therapy.

For similar future interventions, we propose to perform a more accurate and early evaluation of swallowing disorders with a greater integration of the multidisciplinary team, so as to early detect the need for a tracheotomy and a PEG and therefore immediately begin a specific rehabilitation treatment.

References

  1. Deglutologia O, Schindler G, Ruoppolo A. Schindler II edition-Omega Editions 2011.
  2. Rehabilitation of dysphagic cerebrolesion - P. Cancialosi - Edizioni Minerva Medica 2007.
  3. Diagnostic therapeutic guidelines in neurology. Neurogenic dysphagias. 2005, European Group Dysphagia and Globus (E.G.D.G.) / Italian Study Group on Dysphagia (GISD).
  4. Barin Selçuk et al. Effect of temperature on electrophysiological parameters of swallowing, 2007.
  5. Shannon M Fernando , Andrew J E Seely. Post-Extubation Dysphagia: The Truth Is Hard to Swallow.