Open Journal of Clinical and
Medical Images


Case Report - Open Access, Volume 2

Double chambered right ventricle with perimembranous defect and severe aortic aneurism: A case in an adult patient

Giulia Bragantini; Ylenia Bartolacelli*; Anna Balducci; Cristina Ciuca; Simone Bonetti; Andrea Donti

Pediatric Cardiology and Adult Congenital Heart Disease Program, Department of Cardio-Thoracic and Vascular Medicine IRCCS Azienda Ospedaliero-Universitaria di Bologna, Italia Italy.

*Corresponding Author: Ylenia Bartolacelli
Pediatric Cardiology and Adult Congenital Heart Disease Program, Department of Cardio-Thoracic and Vascular Medicine IRCCS Azienda Ospedaliero-Universitaria di via Ercolani, Bologna, 40138 Italy.
Tel: +393280571762;
Email: ylenia.bartolacelli@gmail.com

Received : Aug 23, 2022

Accepted : Sep 15, 2022

Published : Sep 20, 2022

Archived : www.jclinmedimages.org

Copyright : © Bartolacelli Y (2022).

Abstract

Double-chambered right ventricle (DCRV) is a rare congenital heart disease characterized by the division of the right ventricular cavity into two chambers by anomalous muscle bundles. DCRV is usually diagnosed at childhood. We report a case of an adult patient.

Keywords: Double-chambered right ventricle; Perimembranous ventricular septal defect; Adult congenital heart disease.

Citation: Bragantini G, Bartolacelli Y, Balducci A, Ciuca C, Bonetti S, et al. Double chambered right ventricle withperimembranous defect and severe aortic aneurism: A case in an adult patient. Open J Clin Med Images. 2022; 2(2): 1057.

Case report

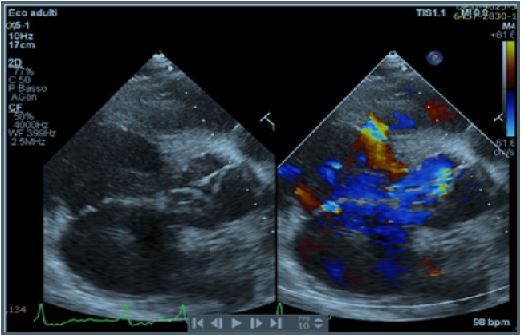
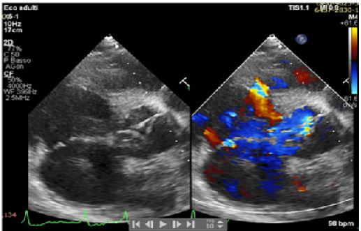
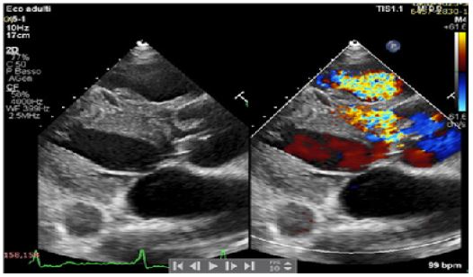
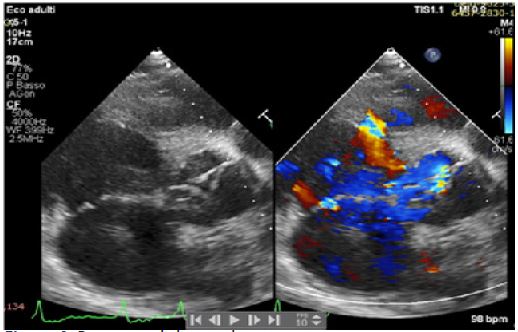
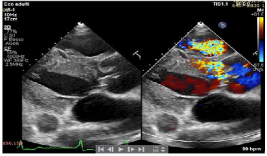
A 42-years old Senegalese man was referred to our department for dyspnea on exertion (NYHA II-III) and clinical signs of heart failure. In his clinical history an undefined cardiopathy, known since childhood but not investigated because asymptomatic, was reported. General examination revealed tachyarrhythmic pulse (rate of 103 per minute) along with normal blood pressure (130/65 mmHg) and arterial oxygen saturation (SpO2 97-99%). Electrocardiography demonstrated atrial fibrillation with left ventricular hypertrophy and signs of pressure overload (Figure 1), while chest X-Ray showed severe cardiomegaly and pulmonary congestion. Transthoracic Echocardiogram (TTE) with color Doppler revealed the presence of a 21 mm perimembranosus Ventricular Septal Defect (VSD), below the aortic valve, with relevant left-to-right shunt (gradient 90 mmHg), partially closed by prolapsing right coronary cusp and accessory tricuspid valve tissue (Figures 2 and 3). A hypertrophied muscle bundle in the mid-ventricular region of the Right Ventricle (RV) along with color-flow turbulence was documented (Figure 4). Due to misalignment, no accurate estimation of intraventricular RV pressure was feasible, but moderate tricuspid regurgitation revealed an atrioventricular gradient of 70 mmHg, suggesting high RV pressures. Other findings were severe aortic valve regurgitation with severe dilation of ascending aorta (diameters of sinuses of Valsalva 60 mm, 28 mm/m2, z-score +6,3, tubular ascending aorta 48 mm, 23 mm/m2, z-score +5,7). 2D and 3 D Transoesophageal Echocardiographic Examination (TOE) confirmed the presence of the anomalous muscle band dividing the RV into two parts: a high-pressure inlet portion and a lower pressure outlet portion (Figures 5 and 6). Severe dilation of both aorta and pulmonary trunk was revealed, confirming severe aortic valve regurgitation with multiple jets and determined by different factors (lack of coaptation, prolapse of the right cusp and distortion of the noncoronary cusp). To accurately measure RV pressures cardiac catheterization was performed. The systolic pressure of the right ventricular inlet and the outlet pressure were 78 and 38 mmHg respectively, determing an intraventricular gradient of 40 mmHg. There was no pressure gradient between the right ventricle outlet tract and the main pulmonary artery (systolic/diastolic/mean pressures were 38/18/25 mmHg respectively). Normal coronary arteries were documented. Patient was scheduled for corrective surgery in the form of resection of the anomalous muscle bundle along with patch closure of the VSD and Bentall procedure for ascending aorta or aortic valve replacement.

Figure 1: ECG at first evaluation: Atrial fibrillation with left ventricular hypertrophy and volume and pressure overload, single ectopic ventricular beat.

Figure 2: Parasternal long axis.

Figure 3: Parasternal long axis.

Figure 4: Parasternal short axis.

Figure 5: Transoesophageal echocardiographic examination.

Figure 6: Transoesophageal echocardiographic examination.

Discussion

Double Chambered Right Ventricle (DCRV) is a congenital heart defect where the right ventricle is divided by anomalous muscle bundle into a high pressure inlet portion and a low pressure outlet portion [1]. This form of midcavitary obstruction was first described by Peacock in 1858 [2,3]. The incidence of DCRV varies from 0.5% to 2%. DCRV is exceptionally rare as an isolated anomaly. In 80% to 90% of cases, it is associated with membranous type VSD [4]. Other coexisting lesions include subaortic stenosis, pulmonary valve stenosis, double-outlet RV, tetralogy of Fallot, anomalous pulmonary venous drainage, complete or corrected transposition of the great vessels, pulmonary atresia with intact septum and Ebstein anomaly, and (rarely) anoma lous coronary vessels [5]. DCRV is the only right ventricular outfl ow tract obstruction classified as sub-infundibular.

Earlier work by Pongiglione et al and Maron et al suggested that the increased blood fl ow and pressure within the right ventricular outflow tract may act as an initial stimulus for hypertrophy of the crista supraventricular is in patients with ventricular septal defect and notably increased pulmonary blood fl ow [1,6,7]. Wong’s group proposed that the obstruction is caused initially by the superior displacement of the sept marginal trabecula (moderator band), which then undergoes hypertrophy over time [8].

In contrast, Alva et al found that the abnormal muscle bundles originated from the accentuation of the septoparietal trabeculations. A muscular shelf extends from these trabeculations towards the trabecular component of the apical RV. They maintained that these prominent septoparietal trabeculations, in combination with acquired factors, form the causal basis of DCRV [5].

Moreover, Massin described the potential development of iatrogenic DCRV following the repair of a ventricular septal defect [9]. Prior to surgery, no pressure gradient was detected, and no muscle proliferation was seen on echocardiography. However, postoperative follow-up revealed hypertrophy of the moderator band and a pressure gradient across the RV, which reached up to 60 mmHg

Lastly, a simple classification of the pathology was proposed by Folger who described two positions of the abnormal muscle bundle: high (or horizontal) and low (or oblique) [10].

The midcavitary obstruction usually deteriorates, with subsequent hypertrophy of the muscle and further narrowing of the right ventricular cavity. So, the treatment of the DCRV is surgical and most often constitutes a part of the corrective procedure. The time for intervention usually depends on the associated lesions. In the absence of a significant coexisting defect, observation may be appropriate as long as the intracavitary systolic gradient is not greater than 40 mmHg and the obstruction is not progressive. The long term results of surgical treatment are excellent [7,11].

The most effective form of diagnosis of DCRV is transesophageal echocardiography. Doppler also allows for the calculation of intraventricular pressure gradients and obviates the need for additional cardiac catheterization [4]. On echocardiography, fibrotic and hypertrophic tissue is more evident during systole, since the muscle bands are contracted and thickened [12]. Cardiac catheterization and angiocardiography can be used for confirmation of a diagnosis [13] but aren’t necessary

This case supports the hypothesis that obstruction by anomalous muscle bundles might be an acquired phenomenon in patients with VSD [1,11].

Conclusions

Diagnosis of DCRV in adult life is rare. Patient with VSD early develops signs of pulmonary increased blood fl ow and heart failure. If uncorrected, it leads to pulmonary vascular disease with irreversible pulmonary hypertension (Eisenmenger syndrome). In our case the anomalous muscular band protected against the development of severe pulmonary hypertension. This case supports the hypothesis that obstruction by anomalous muscle bundles might be an acquired phenomenon in patients with VSD Echocardiography is very useful in diagnosing this anomaly in adult patients, in particular TOE is more accurate to define the details of the pathology.

Declarations

Conflicts of interest: The authors state that they have no confl ict of interest.

Author contributions: All the authors contributed to the acquisition of data and to the drafting of the article.

Ethical considerations: The collection of data was carried out with respect for the anonymity of the patient and the confidentiality of their information.

References

  1. Pongiglione G, Freedom RM, Cook D, Rowe RD. Mechanism of acquired right ventricular outflow tract obstruction in patients with ventricular septal defect: an angiocardiographic study. Am J Cardiol. 1982; 50: 776-780.
  2. TB P. Malformations of the Human Heart. London: John Churchill. 1858. 1858.
  3. Lascano ME, Schaad MS, Moodie DS, Murphy D. Difficulty in diagnosing double-chambered right ventricle in adults. Am J Cardiol. 2001; 88: 816-819.
  4. Hoffman P, Wojcik AW, Rozanski J, Siudalska H, Jakubowska E, et al. The role of echocardiography in diagnosing double chambered right ventricle in adults. Heart. 2004; 90: 789-793.
  5. Alva C, Ho SY, Lincoln CR, Rigby ML, Wright A, Anderson RH. The nature of the obstructive muscular bundles in double-chambered right ventricle. J Thorac Cardiovasc Surg. 1999; 117: 1180-1189.
  6. Maron BJ, Ferrans VJ, White RI. Unusual evolution of acquired infundibular stenosis in patients with ventricular septal defect. Clinical and morphologic observations. Circulation. 1973; 48: 1092-103.
  7. Loukas M, Housman B, Blaak C, Kralovic S, Tubbs RS, Anderson RH. Double-chambered right ventricle: a review. Cardiovasc Pathol. 2013; 22: 417-423.
  8. Harrison AG, Lin T, Wang P. Mechanisms of SARS-CoV-2 Transmission and Pathogenesis. Trends in immunology. 2020; 41: 1100-1115.
  9. Massin M. [Development of double-chambered right ventricle after surgical closure of a ventricular septal defect]. Ann Cardiol Angeiol (Paris). 1998; 47: 579-581.
  10. Folger GM. Right ventricular outflow pouch associated with double-chambered right ventricle. Am Heart J. 1985; 109(5 Pt 1): 1044-1049.
  11. Darwazah AK, Eida M, Bader V, Khalil M. Surgical management of double-chambered right ventricle in adults. Tex Heart Inst J. 2011; 38: 301-304.
  12. Restivo A, Cameron AH, Anderson RH, Allwork SP. Divided right ventricle: a review of its anatomical varieties. Pediatr Cardiol. 1984; 5: 197-204.
  13. Cil E, Saraclar M, Ozkutlu S, Ozme S, Bilgic A, Ozer S, et al. Double-chambered right ventricle: experience with 52 cases. Int J Cardiol. 1995; 50: 19-29.