Open Journal of
Clinical and Medical Images


Case Report - Open Access, Volume 2

Bronchiectasis in AAAA Syndrome

Kanmani MK; Ketaki Utpat; Unnati Desai*; Jyotsna M Joshi

Department of Pulmonary Medicine, TN Medical College, BYL Nair Hospital, Mumbai, India.

*Corresponding Author: Unnati Desai
Associate Professor and Incharge, Department of Pulmonary Medicine, TN Medical College, BYL Nair Hospital, Mumbai-400008, India. Phone: 91 022-23027642/43;
Email: unnati_desai82@yahoo.co.in

Received : Feb 25, 2022

Accepted : Apr 07, 2022

Published : Apr 12, 2022

Archived : www.jclinmedimages.org

Copyright : © Desai U (2022).

Abstract

Bronchiectasis is a disease hallmarked by abnormal permanent enlargement of large and medium size airways. The clinical presentation could be variable and it exhibits a considerable amount of overlap with other airway disorders. The etiology of bronchiectasis is heterogenous and constitutes of inherited and acquired causes pertaining to airway obstruction or defects in host immunity. Individuals with an inadequate immune system are at increased risk for chronic bronchial infections, which can damage airways and create circumstances for development of bronchiectasis. Allgrove’s or 4A syndrome a rare inherited autosomal recessive disease characterized by alacrimia, Addison disease, autonomic disturbance and achalasia cardia presents with bronchiectasis which is rare presentation of this rare disease. Diagnosis is often made clinically and confirmed by High-Resolution Computer Tomography (HRCT) of the chest. As per the available literature search, this is the first report of Bronchiectasis in AAAA syndrome.

Keywords: AAAA syndrome; Achalasia cardia; Recurrent infections; Bronchiectasis; HRCT thorax.

Citation: Kanmani MK, Utpat K, Desai U, Joshi JM. Effects of the COVID-19 pandemic in referrals of patients with cardiovascular, diabetes mellitus, neurological and neurosurgical diseases to hospital. Open J Clin Med Images. 2022; 2(1): 1037.

Introduction

Allgroove’s or AAAA syndrome is a rare autosomal recessive disease caused by mutations in AAAS gene leading to Alacrima, Achalasia, Addison’s disease and autonomic disturbances. When presenting in early childhood, Alacrima and, possibly, achalasia are the indicative signs; in childhood and adolescence, onset is characterized by achalasia and adrenal insufficiency; while in adulthood, presentation is predominantly neurological with autonomous and polyneuropathic involvement. Alacrima, when present manifesting in the first months of life as first clinical sign, but usually the first relevant symptom leading to diagnosis is dysphagia due to achalasia cardia. Adrenal insufficiency may cause hypoglycemia and seizures. In 1978, Jeremy Allgrove and colleagues described two unrelated pairs of siblings with isolated glucocorticoid deficiency and achalasia of the esophagus cardia. Achalasia cardia involves in delayed passage of food into the stomach and consequent dilation of the thoracic esophagus. Three of these individuals also had defective tear production, leading to speculate that inherited familial disorder represented by the combination of achalasia, adrenal deficiency, and Alacrima. The tetrad of adrenocortical insufficiency with Alacrima, achalasia and autonomic abnormalities is an unusual disease entity named as AAAA syndrome. Bilateral bronchiectasis is rarely reported in patients with achalasia both in adults and children. Long standing achalasia leads to dilated esophagus, which causes chronic aspiration leading to recurrent infections causing recurrent trauma to the airways and consequent bronchiectasis. The chest radiograph in affected individuals is often normal or shows non specific findings. High-Resolution Computer Tomography (HRCT) is the most sensitive and specific method for diagnosing bronchiectasis. Here we present a 35-year-old male presenting bronchiectasis in a diagnosed case of AAAA syndrome since childhood.

Figure 1: Plain Chest Radiograph- Normal.

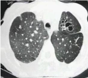
Figure 2: High resolution computer tomography of thorax- bronchiectasis in left upper lobe.

Case presentation

A 35-year-old male was admitted to the hospital for productive cough and episodic breathlessness and rhinitis. He had history of increase of symptoms with seasonal variation and on exposure to cold. He had been diagnosed with AAAA syndrome including achalasia cardia, alacrimia, and adrenocortical insufficiency, autonomic and peripheral neuropathy since 5 years of age. He had past history of tuberculous meningitis at 6 years of age managed with 1 year of antituberculosis treatment. He also had history of hospitalization several times for cough and fever treated symptomatically associated with relief of symptoms. Physical examination detected Alacrimia, anisocoria, dysarthria, microcephaly, generalized hyperpigmentation and nasal speech. His pulse rate, respiratory rate, blood pressure and transcutaneous oxygen saturation were 90 per minute, 20 per minute, 110/70 mmHg and 93% in room air respectively. Bilateral crackles on upper lobe areas were heard on auscultation. Results of full blood counts were as follows: hemoglobin 11.5 g/dl, hematocrit 33.5%, white blood cell count 7500 /mm3, 78% segmented neutrophils, 3% monocytes, 23% lymphocytes and 2% eosinophils and biochemistry analysis within normal limits. Serum Immunoglobulin E was 43.92 IU/ml. Plain chest radiograph revealed no abnormality. High-resolution computer tomography revealed centrilobular nodules with fibro bronchiectactic changes in bilateral upper lobes with mosaic attenuation in bilateral lung fields. Sputum for cartridge based nucleic acid amplification test did not detect mycobacterium tuberculosis. Sputum was also negative for acid-fast bacilli, AFB smear, culture, and bacterial culture. Spirometry with clinicoradiological correlation was suggestive of obstructive abnormality with forced expiratory volume in 1 second by Forced Vital Capacity (FEV1/FVC) of 68% and FEV1 of 22% predicted with good post bronchodilator reversibility of 29% and 210 ml. Patient was treated with high dose inhaled corticosteroids and long acting beta agonist with oral bronchodilator. Chest physiotherapy with postural drainage was given. Patient improved symptomatically and clinically. Patient was vaccinated for influenza and pneumococcal infection. Diagnosis of Bilateral Bronchiectasis due to AAAA syndrome.

Discussion

diagnosis of bronchiectasis is frequently delayed for months or years, often with symptoms misdiagnosed as bronchitis, asthma, or recurrent pneumonia. Almost any cause of significant bronchial injury can lead to bronchiectasis [1,2]. According to Cole’s generally accepted “vicious cycle”, hypothesis airway damage and infection play reinforcing roles in the development of bronchiectasis. A primary insult to the airways leads to the damage of ciliated epithelium and mucosal glands, impairing the mucociliary clearance system and thus increasing the frequency and also the severity of pulmonary infections and perpetuating the vicious cycle [3]. Triple A syndrome is a rare autosomal recessive inherited condition characterized by three specific features: Addison disease, achalasia and Alacrima (a reduced or absent ability to secrete tears). These three cardinal signs may be associated with autonomic dysfunction and other neurological features, leading ‘’triple A’’ to ‘’quaternary A’’ denomination, respectively [4]. Neurological manifestations as dysautonomia causes dyshidrosis and digestive, sexual, circulatory and urinary dysfunction; pyramidal syndrome and peripheral neuropathy lead to walking difficulties and rarely to sensory deficit; and bulbar and facial deficiencies are responsible for velopharyngeal incompetence, tongue amyotrophy or paresis, orbicularis oris dysfunction and oropharyngeal dysphagia. Specific autonomic disturbances described in this syndrome include poor heart rate variability, abnormal pupillary reflexes, and orthostatic hypotension. Affected individuals may also have intellectual disability, developmental delay, a small head size, muscle weakness, movement problems, speech problems, peripheral neuropathy, and optic atrophy [5]. Achalasia is typically managed with surgical correction. Individuals may be monitored for pulmonary complications (due to reflux and aspiration). Usually recommended are surgical intervention after gastric acid reduction therapy in individuals with reflux. Pneumatic dilatation (also called balloon dilation) may be partially improve the symptoms in individuals with achalasia. Aspiration of oral contents can be particularly damaging to bronchi. Gastro esophageal reflux disease with gastric aspiration contribute as well [6]. The most plausible pathophysiology can be aspiration of gastric contents causing direct damage to large and small airways and thus leads to airway inflammation. Common causes of repeated aspiration include large hiatal hernias predisposing patients to gastro esophageal reflux, diseases resulting in a patulous esophagus, and esophageal motility disorders. In chronic aspiration, bilateral peripheral lower lung zone (dependent)-predominant bronchiectasis can be seen. When accompanied by acute or recent aspiration, centrilobular ground glass and tree-in-bud nodules are common in the bronchocentric areas of the lower lobes and the dependent upper lobes. Bronchial wall thickening, mucous impaction, aspirated material in the trachea or bronchi, mosaic attenuation, and the presence of achalasia cardia , hiatal hernia are other clues to the diagnosis [7,8].

Our patient had clinically important achalasia, which is a part of the AAAA syndrome, causing gastro esophageal reflux and aspiration pneumonia. Achalasia when long-standing results in abnormally dilated esophagus known as pneumoesophagus / megaesophagus if air-filled. The etiology of loss of esophageal myenteric plexus inhibitory neurons still remains unknown. The disease can manifest at any age. Chronic aspiration from megaesophagus may result in respiratory tract infections causing recurrent trauma to the airways and consequent bronchiectasis. Stasis of food in the esophagus and recurrent aspiration seem to play a primary role in Bronchiectasis. Chest radiograph is usually inadequate in diagnosis or quantification of bronchiectasis like in our patient chest radiograph was normal. Chest radiography is relatively insensitive for detection of bronchiectasis. In moderate to severe cases, a “tram-track” appearance of parallel and ring like opacities related to the thickened walls of dilated bronchi and tubular densities related to mucus-filled dilated airways can be seen at chest radiography [9]. However, many cases of bronchiectasis are difficult to appreciate with chest radiography. High-resolution computer tomography is more sensitive than chest radiography and is the reference standard in identification and characterization of bronchiectasis [10] like in our patient high-resolution computer tomography revealed centrilobular nodules and bilateral bronchiectasis. Hence, diagnosis made and with adequate chest, physiotherapy and inhaled long acting beta agonists and corticosteroids patient improved symptomatically and clinically. Recurrent cough with expectorations, recurrent respiratory infections, with symptoms of gastro esophageal reflux it is prudent to look for bronchiectasis as a possibility and investigate even when chest radiography is normal. Bronchiectasis can occur though rare in asymptomatic achalasia cardia secondary to recurrent micro aspiration. Bronchiectasis has severe impact on quality of life resulting from several disease, which makes etiological investigation a complex process demanding special resources and experiences although it has been proved that etiological diagnosis is useful for therapeutic approach.

References

  1. Scarlett EP. Bronchiectasis (a review). Can Med Assoc J. 1946; 54: 275-283.
  2. Williams CT. Lectures on bronchiectasis. Br Med J. 1881; 1: 299-300.
  3. Cole PJ. Inflammation: A two-edged sword-the model of bronchiectasis. European journal of respiratory diseases. 1986; 147: 6-15.
  4. Gazarian M, Cowell CT, Bonney M, Grigor WG. The “4A” syndrome: adrenocortical insufficiency associated with achalasia, alacrima, autonomic and other neurological abnormalities. European journal of pediatrics. 1995; 154: 18-23.
  5. Allgrove J, Clayden GS, Grant DB, Macaulay JC. Familial glucocorticoid deficiency with achalasia of the cardia and deficient tear production. The Lancet. 1978; 311: 1284-1286.
  6. Matsuse T, Oka T, Kida K, Fukuchi Y. Importance of diffuse aspiration bronchiolitis caused by chronic occult aspiration in the elderly. Chest. 1996; 110: 1289-1293.
  7. Milliron B, Henry TS, Veeraraghavan S, Little BP. Bronchiectasis: Mechanisms and imaging clues of associated common and uncommon diseases. Radiographics. 2015; 35: 1011-1030.
  8. Bello CT, Lewin JR, Norris CM, Farrar Jr GE. Achalasia (cardio spasm): Report of a case with extreme and unusual manifestations. Ann Intern Med. 1950; 32: 1184-1190.
  9. Cantin L, Bankier AA, Eisenberg RL. Bronchiectasis. American Journal of Roentgenology. 2009; 193: W158-W171.
  10. McGuinness G, Naidich DP. CT of airways disease and bronchiectasis. Radiologic Clinics. 2002; 40: 1-9.